Crowns & Veneers

A crown can give you a natural, long-lasting, and beautiful smile in the event of tooth damage that goes beyond the scope of fillings or other types of restorations. A crown completely encases a tooth, replicating the tooth's original shape and size. Aside from its cosmetic benefits, it also protects and strengthens tooth structures. Porcelain crowns are by far the most popular type. Made to match the shape, size, and color or your teeth, they can last for years before needing replacement.

Reasons for crowns:

  • Broken or fractured teeth
  • Cosmetic enhancement
  • Decayed teeth
  • Fractured fillings
  • Large fillings
  • Tooth has a root canal

What does getting a crown involve?

A crown procedure usually requires two appointments. At the first, molds of the tooth are taken. These are used to create not only your custom crown but also a temporary crown to cover and protect the tooth while the dental laboratory fabricates the real crown. Fabrication generally takes two weeks.

At your second appointment, your temporary crown will be removed, the tooth will be re-cleaned, and your new crown will be carefully placed to ensure the spacing and bite are accurate. You will be given care instructions and encouraged to have regular dental visits to check your new crown.

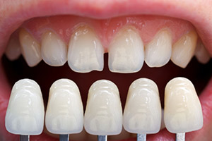
Veneers:

veneers.jpgVeneers are very thin yet extremely durable porcelain pieces that are custom-made and bonded onto just the front of teeth. They can last for years and drastically improve the appearance of crooked, misshapen, discolored, worn, chipped, oversized, or undersized teeth as well as conceal spacing issues. Veneers can sometimes be an alternative to crowns, depending on the condition of the underlying teeth.

Please contact us for a consultation!